GIỚI THIỆU VỀ PHÒNG CHỈNH NHA
Chúng tôi tự hào là một trong những nha khoa chuyên sâu đạt chuẩn quốc tế và có uy tín tại Việt Nam. Với công nghệ hiện đại, bác sĩ có trình độ chuyên môn cao, hệ thống máy móc tiên tiến, chất lượng dịch vụ hoàn hảo, Trung Tâm Niềng Răng Bác sĩ Nguyễn Xuân Cường cam kết mang đến những giá trị phục vụ tốt nhất cho khách hàng, là nơi bạn có thể yên tâm để có một nụ cười tỏa sáng của riêng mình. Yếu tố quyết định chất lượng điều trị tại Trung tâm Niềng Răng Bác sĩ Cường chính là đội ngũ bác sĩ chuyên môn cao , nhiều kinh nghiệm được đào tạo cao học và chuyên khoa sâu từ trường ĐH Y Dược TPHCM và bệnh viên Răng hàm mặt Trung Ương TPHCM. Chúng tôi luôn không ngừng học các khóa học chuyên sâu từ các giáo sư đầu nghành trong nước và quốc tế, cập nhật các công nghệ nha khoa mới nhất trên thế giới để có thể đem đến kết quả điều trị tốt nhất cho khách hàng.
Xem chi tiếtCÁC TRƯỜNG HỢP NIỀNG RĂNG
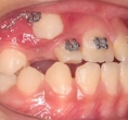
RĂNG CẮN HỞ
KHỚP CẮN HỞ VÀ PHƯƠNG PHÁP ĐIỀU TRỊ. Một trong những sai lệch nghiêm trọng nhất của khớp cắn là tình trạng khớp cắn hở. Loại khớp cắn này có ảnh hưởng rất lớn đến thẩm mỹ và đặc biệt là chức năng của hàm răng. Khớp cắn hở là tình trạng nhóm răng cửa bị hở có thể nhìn thấy lưỡi ngay cả khi khép răng ở trạng thái nghỉ bình thường. Nhóm răng của ở hai hàm trên – dưới không thể chạm được tới nhau.
Xem thêmRĂNG MỌC CHEN CHÚC NHAU
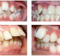
Răng chen chúc (crowding) là tình trạng thường gặp nhất, chiếm tỉ lệ cao nhất trong rối loạn khớp cắn. Điều may mắn là ngày nay, điều trị răng chen chúc ít khi phải nhổ răng, thời gian điều trị rút ngắn chỉ khoảng 12-18 tháng mà kết quả thì cải thiện đáng kể.
Xem thêmRĂNG MỌC NGẦM
Không ít trường hợp có răng mọc ngầm bên trong xương và dưới nướu. Ở người này răng ngầm được chỉ định nhổ, nhưng ở người khác lại không cần thiết phải nhổ. Đó là do đặc điểm cụ thể của từng chiếc răng mọc ngầm. Nếu bạn còn băn khoăn thì bài viết sau đây sẽ đưa ra những phân tích ngắn gọn và chính xác giúp bạn biết khi nào cần nhổ răng mọc ngầm và khi nào không cần nhổ.
Xem thêmRĂNG MỌC LỆCH LẠC
Chỉnh răng mọc lệch lạc là phương pháp mà các nha sĩ sẽ sử dụng các khí cụ chỉnh nha niềng răng để điều chỉnh, sắp xếp lại các răng về đúng vị trí của nó, đồng thời ngăn chặn sự phát triển bất bình thường giữa hai xương hàm trên và dưới giúp răng trở nên đầu đặn và xinh đẹp không chỉ đảm bảo chức năng răng mà cả về mặt thẩm mỹ.
Xem thêmRĂNG MỌC THƯA
Niềng răng cho răng bị thưa là một phương pháp niềng răng hợp lý, là sự lựa chọn phù hợp cho bạn nếu hàm răng của mình chưa được đều đặn và răng bị thưa.
Xem thêmRĂNG TRẺ EM MỌC LỆCH
Niềng răng cho cho trẻ quan trọng nhất là phải có kế hoạch điều trị hợp lý phù hợp với sự phát triển của bé. Xác định được giai đoạn phát triển răng của bé sẽ giúp đạt được kết quả tối đa khi điều trị niềng răng.
Xem thêmRĂNG MÓM
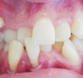
Móm là một khuyết điểm lớn không chỉ ảnh hưởng về mặt thẩm mỹ của hàm răng, khung hàm mà còn làm mất đi sự cân đối ở tổng thể khuôn mặt. Người bị móm rất dễ nhận biết, vì thông thường phần răng hàm dưới chìa ra phái ngoài, che khuất hết răng hàm trên khi cắn chặt, khi nhìn nghiêng sẽ thấy cằm dưới dài và nhô ra phía trước, không nằm trên đường thẳng tương quan của đỉnh mũi – đầu môi – cằm.
Xem thêmBẢNG GIÁ DỊCH VỤ
KIẾN THỨC CHUYÊN NGÀNH
KIẾN THỨC VỀ NIỀNG RĂNG
NIỀNG RĂNG LÀ GÌ ?
22.12.2016
Trước khi quyết định niềng răng thì bạn nên tìm hiểu một số thông tin về phương pháp này. Nhắc đến niềng răng chắc chắn ai cũng nghĩ ngay đến những chiếc mắc cài gắn trên răng vô cùng khó chịu.
QUÁ TRÌNH NIỀNG RĂNG THAY ĐỔI TỪNG GIAI ĐOẠN THẾ NÀO ?
22.12.2016
Quá trình niềng răng chính là yếu tố phản ánh khá rõ hiệu quả đạt được sau khi niềng răng. Quá trình niềng răng được thực hiện chuẩn xác và tuần tự theo các bước thì sẽ đảm bảo chất lượng như mong muốn. Vậy niềng răng cần trải qua những giai đoạn và các bước như thế nào ?
HIỂU ĐÚNG VỀ QUY TRÌNH NIỀNG RĂNG HÔ TIÊU CHUẨN QUỐC TẾ !
22.12.2016
Nha khoa Cường Nhân là một trong số ít các đơn vị có thể đáp ứng được quy trình niềng răng hô tiêu chuẩn quốc tế tại Việt Nam. Việc áp dụng quy trình niềng răng rất khắt khe nhằm đảm bảo chất lượng chỉnh nha tốt nhất. Sẽ thật thiếu sót nếu bạn không trang bị cho mình những kiến thức đầy đủ về vấn đề này.
4 NGUYÊN TẮC TRÁNH TÁI XÔ LỆCH KHI DÙNG HÀM DUY TRÌ SAU NIỀNG RĂNG
22.12.2016
Dùng hàm duy trì sau niềng răng là chỉ định bắt buộc ngay sau khi tháo mắc cài. Hàm duy trì đóng vai trò quan trọng không kém việc đeo khí cụ chỉnh nha chính, nếu không biết và tuân thủ những nguyên tắc khi sử dụng hàm duy trì, rất có thể bao công sức niềng răng của bạn bấy lâu nay sẽ đổ xuống sông, xuống biển.
NIỀNG RĂNG MẤT BAO LÂU , LỘ TRÌNH NIỀNG RĂNG ?
22.12.2016
Niềng răng mất bao lâu còn do nhiều yếu tố chi phối như quá trình niềng răng, độ tuổi thực hiện, tình trạng răng miệng,.. Vì vậy, để biết bao lâu có thể tháo khí cụ trong trường hợp của bạn thì bài viết dưới đây sẽ có lời giải đáp chính xác nhất.
NIỀNG RĂNG SAU KHI SINH EM BÉ !
30.11.2016
Câu hỏi: Thưa bác sỹ, răng tôi bị hô từ nhỏ. Hiện tại tôi đã sinh cháu được 3 tháng, muốn tranh thủ thời gian này để đi niềng răng. Vậy niềng răng sau khi sinh có được không ạ và có ảnh hường gì không ? Cám ơn bác sỹ ! ( chị Nga Thu – Bình Dương)
KIẾN THỨC NHA KHOA TỔNG QUÁT
CHĂM SÓC CĂN BẢN VỀ RĂNG RA SAO ?
24.04.2018
Chăm sóc răng, một công việc tưởng chừng đơn giản những cũng lắm công phù và lợi ích thật sự to lớn cho sức khoẻ của bạn.
CHẤT FLOUR CÓ TÁC DỤNG GÌ VỚI RĂNG !
22.12.2016
Men răng cứng và bao gồm nhiều thanh khoáng chất nhỏ khít nhau. Khi bạn ăn, chất axít hình thành ở bề mặt răng và thấm qua các thanh men này. Quá trình loại khoáng này có thể sinh ra một chỗ yếu trên bề mặt răng. Nếu không ngăn chặn kịp thời, axít có thể ăn mòn men răng và dẫn đến sâu răng.
ĐỜI SỐNG CỦA RĂNG
22.12.2016
Con người cũng như mọi loài động vật có vú khác, đều có 2 loạt răng trong suốt đời sống: răng sữa tồn tại trong suốt thời thơ ấu và răng vĩnh viễn ở người trưởng thành.
QUÁ TRÌNH SÂU RĂNG DIỄN RA NHƯ THẾ NÀO ?
22.12.2016
Hầu hết, ở mọi lứa tuổi đều xuất hiện tình trạng sâu răng, ít nhất xảy ra 1 lần trong đời. Tuy nhiên, rất ít người có đủ kiến thức về bệnh lý này cũng như quá trình sâu răng diễn ra như thế nào.
NHỔ RĂNG KHÔN
30.11.2016
Răng khôn, hay còn gọi là răng cối thứ ba, là răng mọc cuối cùng. Ða số chúng ta có bốn răng khôn, mọc ở phía sau hai bên hàm trên và dưới. Răng khôn thường mọc ở tuổi thanh niên.
TẠI SAO PHẢI KHÁM RĂNG ĐINH KỲ ?
06.06.2018
Tại sao nha sĩ lại muốn xếp hẹn tái khám với bạn sớm như vậy – thậm chí lần này mọi chuyện đều tốt đẹp? Là vì việc khám thường xuyên rất quan trọng để giữ cho răng và lợi khỏe mạnh. Ðể có hiệu quả nhất, chế độ chăm sóc răng tại nhà phải đi đôi với việc khám ít nhất là sáu tháng một lần.
THIẾT BỊ PHÒNG NHA
CẢM NGHĨ CỦA KHÁCH HÀNG
HỎI & ĐÁP
Những câu hỏi thường gặp về chỉnh nha bằng Invisalign
Invisalign là một kỹ thuật điều trị mới của công nghệ chỉnh nha ngày nay. Invisalign là một loạt khay trong suốt được bệnh nhân mang để di chuyển răng theo mong muốn của bác sĩ và bệnh nhân. Vậy Invisalign có những ưu và nhược điểm gì? Bạn có thích hợp để điều trị bằng Invisalign? Hãy cùng tìm hiểu thêm nhé.
Tại sao bác sĩ lại đề nghị nhổ răng khi răng vẫn còn tốt ?
Nếu không có khoảng trống trong hàm thì không thể di chuyển răng để chỉnh nha. Nếu trường hợp răng bị hô, lệch hoặc chen chúc sẽ không có khoảng trống, bác sỹ không thực hiện chỉnh nha được.
Niềng răng sai cách nguy hiểm thế nào?
Theo Bác Sĩ Nguyễn Xuân Cường, niềng răng là giải pháp lý tưởng của nhiều người trong việc khắc phục nhược điểm của bộ nhai. Chẳng hạn, các trường hợp bị sai lệch hoặc có nguy cơ sai lệch khớp cắn; người mắc các bệnh lý hay tai biến do sai khớp cắn; xương hàm gây ảnh hưởng đến chức năng và thẩm mỹ.
Những câu hỏi thường gặp khi chỉnh nha cho trẻ em, vị thành niên
Chỉnh nha cho trẻ em khác với người lớn, vì trẻ có sự phát triển cung xương hàm mặt và bác sĩ phải tính đến yếu tố này. Ngoài ra, trẻ còn có rất nhiều những yếu tố khác mà bác sĩ sẽ cân nhắc như mức độ hợp tác, giữ vệ sinh răng miệng, tâm lý của trẻ đối với điều trị chỉnh nha . Như vậy, điều trị chỉnh nha cho trẻ em, vị thành niên hoàn toàn không đơn giản như nhiều người nghĩ “làm cho trẻ con”!
Tại sao phải nhổ răng khôn để chỉnh nha ?
Răng cối lớn trong cùng thường gọi là răng số 8 chính là răng khôn. Răng khôn thường mọc lúc bệnh nhân 18 tuổi khi hàm có đủ chỗ trống, nếu răng khôn chưa mọc chứng tỏ chỗ trống ít hoặc mọc ngầm.
Chăm sóc hàm răng sau khi niềng răng
Để có hàm răng đẹp sau khi niềng răng, việc tự chăm sóc của bạn quan trọng không kém chất lượng điều trị của bác sỹ. Sau đây là những điều cần lưu ý trong quá trình niềng răng và cả sau khi bạn đã tháo mắc cài.







